Mama si Copilul. Iubirea materna prin ochii stiintei
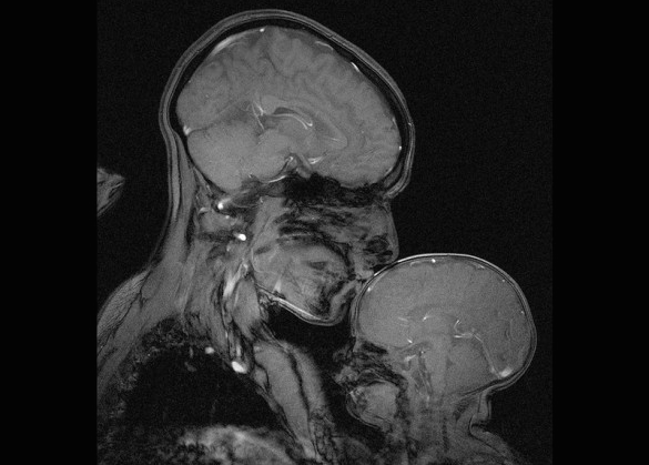
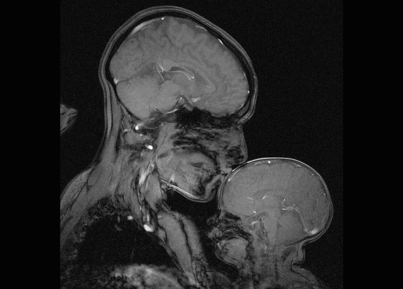
Rebecca Saxe, neurolog la MIT, a capturat aceasta imagine uimitoare realizata cu ajutorul unui aparat RMN 3 Tesla, creand o lucrare de arta abstracta emotionanta, scrie gizmodo.co.
Rebecca Saxe, neurolog la MIT, a capturat aceasta imagine uimitoare realizata cu ajutorul unui aparat RMN 3 Tesla, creand o lucrare de arta abstracta emotionanta, scrie gizmodo.co.