Noi studii arată că pacienții vindecați de Covid-19 rămân cu leziuni pulmonare după externare
Pacienții diagnosticați cu Covid-19 se confruntă cu dificultăți de respirație, tuse și probleme pulmonare săptămâni întregi după ce au fost externați din spital, arată noi studii ale cercetătorilor citați de cotidianul The Guardian.
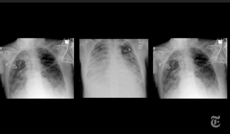
Efectele de lungă durată ale virusului asupra plămânilor și asupra stării generale de sănătate reprezintă un motiv de îngrijorare tot mai mare, acest fenomen fiind identificat chiar și rândul pacienților care au dezvoltat forme relativ ușoare ale bolii.
Astfel, potrivit sursei citate, simptomele descrise mai sus ar putea dura chiar luni de zile după ce infecția a fost tratată.
Cercetătorii din Austria au publicat recent rezultatele provizorii ale unui nou studiu priovind evoluția pacienților vindecați.
Potrivit acestora, timp de șase săptămâni după ce au părăsit spitalul, 88% dintre pacienți prezentau încă leziuni, vizibile la ecografie, cum ar fi aspectul de cioburi de sticlă în plămâni. În același timp, 47% aveau probleme de respirație.
La 12 săptămâni distanță de momentul externării, procentele pentru cele două categorii erau de 56% și, respectiv, 39%.
