Skip to content
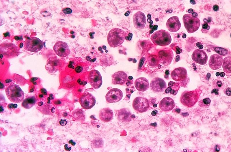
Naegleria fowleri, Foto: Science Photo Library / Sciencephoto / Profimedia

Un caz rar de infecție cu o amibă care devorează creierul a fost depistat în SUA

Un caz rar de infecție cu o amibă care devorează creierul a fost depistat în Florida, potrivit autorităților responsabile de sănătatea publică din statul american, relatează BBC.

Departamentul de sănătate din Florida (DOH) a anunțat că o persoană din comitatul Hillsborough a contractat Naegleria fowleri, o amibă unicelulară care poate cauza o infecție a creierului și este de obicei fatală.

Găsită de regulă în apele dulci calde, amiba pătrunde în organism prin nas dar nu poate fi transmisă de la o persoană la alta.

Infecțiile cu Naegleria fowleri sunt întâlnite de regulă în statele din sudul SUA dar acestea sunt rare în Florida, doar 37 de cazuri fiind înregistrate din 1962.

Însă dat fiind potențialul letal al infecției DOH a emis un avertisment de sănătate pentru locuitorii din comitat, avertizându-i să evite contactul nazal cu apa de la robinet și alte surse posibile de infecție în lunile de vară precum râurile, lacurile sau iazurile.

Printre simptomele asociate Naegleria fowleri se numără febra, senzația de greață și vomitatul, rigiditate a gâtului și dureri de cap. Majoritatea persoanelor infectate își pierd viața în decurs de o săptămână.