Sari direct la conținut

O tumora cerebrala gigant de 7 cm a fost operata cu succes la un copil de 2 ani si 5 luni, la MedLife

MedLive.ro
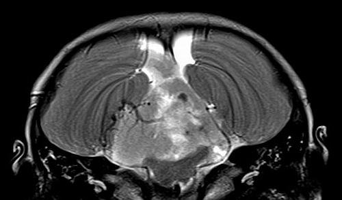
Tumora era dezvoltata in trunchiul cerebral si extinsa in canalul medular, Foto: MedLife
Tumora era dezvoltata in trunchiul cerebral si extinsa in canalul medular, Foto: MedLife

La inceputul acestei luni, in cadrul Life Memorial Hospital din Bucuresti, medicii au reusit sa indeparteze complet o tumoare cu diametrul de 7 cm, la un copil de 2 ani si cinci luni. Indepartarea in totalitate a tumorii de ventricul 4 a durat 16 ore, din care 15, petrecute la microscop. Intens vascularizata, tumoarea voluminoasa dezvoltata din trunchiul cerebral in ventricolul 4 si extinsa in canalul medular a fost abordata pe cai naturale, fara a rani sau retracta cerebelul, a declarat pentru MedLive.ro dr. Sergiu Stoica, medic specialist neurochirurg. La zece minute dupa operatie, copilul s-a trezit si a strigat-o pe “mama”. La o saptamana dupa operatie, a fost externat.

Citeste intregul articol, vezi foto si comenteaza pe MedLive.ro.

Cinci cazuri la un milion anual

In experienta sa, medicul Sergiu Stoica a mai realizat circa 400 de astfel de interventii, ce presupun experienta microchirurgicala, investigatii detaliate (RMN cu sectiuni fine si detalierea vascularizatiei tumorii), planificarea minutioasa a stategiei operatorii si foarte multa rabdare.

In cazul copilului operat la MedLife, tumoarea a indus tulburari de echilibru, cefalee, varsaturi, astenie. In randul populatiei adulte, incidenta unor astfel de tumori este de 5 cazuri la un milion pe an, iar pentru populatia Romaniei se pot estima 100 noi cazuri operate anual, majoritatea in spitale publice.

Tumora trebuie abordata pe cai naturale, fara a rani sau retracta tesutul nervos din jur. In cazul copilului de 2 ani si 5 luni s-a folosit un abord velotonsilar pentru a ajunge in ventricolul 4 fara a taia sau retracta cerebelul. Riscurile sunt nenumarate: deces intraoperator, stare vegetativa, deficite neurologice etc.), insa sunt foarte mici, sub 1%, in mainile unor chirurgi antrenati.

Copilul s-a trezit la zece minute dupa finalizarea interventiei si a fost externat la o saptamana dupa operatie. Examenul neurologic este in parametri normali, iar copilul nu are nici un fel de restrictii. Medicii si parintii spun ca „Are mult mai mult chef de joaca decat inainte, este foarte vesel si activ, nu mai are probleme la mers si refuza sa mai doarma dupa-amiaza.”

ARHIVĂ COMENTARII
INTERVIURILE HotNews.ro